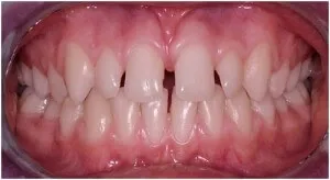
Spacing
Gaps or spacing between teeth is a common complaint by patients seeking orthodontic treatment. Invisalign® clear aligners at NuClear Smiles in Columbia, Maryland, apply programmed, consistent and gentle pressure to the teeth to get them moving in the right direction. Our orthodontist, Dr. Jon Moles, combines his 30 years of expertise with the smart track system of Invisalign aligners to design a unique custom plan just for you! Call us at 443-812-0993 to schedule a visit!
Problems Which Occur From Having Gaps Between Teeth
If spaces are large enough to be “self-cleansing” they will not necessarily present an issue with hygiene, however if the gaps are smaller, food can become trapped by the small spaces.
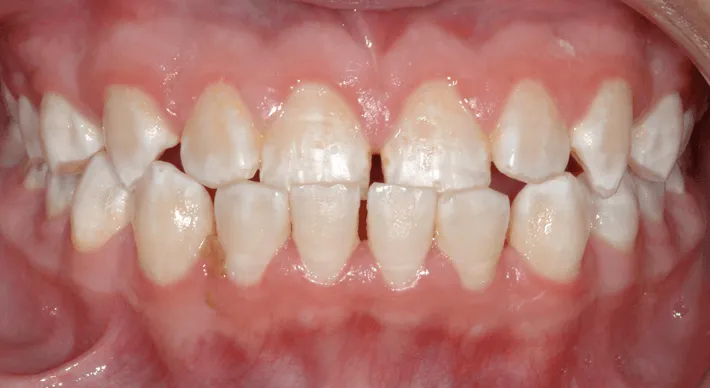
How Do We Correct Crowding?
Before we achieve less crowded teeth, we need space! Creating space can be achieved in several ways:

Trapped Food
Food traps can lead to periodontal (gum) disease and tooth decay. Periodontal disease is an infection of the tissues that hold your teeth in place. If it is left untreated, bone loss can occur, leading to tooth loss.

Trouble Speaking
Large gaps can negatively affect speech.

Awkward Appearance
Gaps between front teeth are commonly thought to be unattractive by the patients who seek treatment to have them closed.
Common Causes of Gaps Between Teeth
Bite
Thick or Low Frenum Attachments
Congenitally Small or Misshapen Teeth
Frequently Asked Questions
Yes, Invisalign is an effective solution for closing gaps and spacing between teeth. The aligners apply gentle, controlled pressure to gradually move teeth closer together, creating a more even and attractive smile. Dr. Jon Moles customizes each treatment plan to address your specific spacing concerns.
Gaps can develop for several reasons, including differences in tooth size, jaw alignment, bite issues, or a thick or low frenum attachment. Some people are naturally born with spacing due to smaller or misshapen teeth. Dr. Moles will identify the cause during your evaluation and design a treatment plan accordingly.
In some cases, gaps can lead to oral health issues. Smaller spaces can trap food, increasing the risk of plaque buildup, tooth decay, and gum disease. Larger gaps may also affect how your teeth function and, in some cases, your speech.
Treatment time varies depending on the size of the gaps and your overall dental condition. Some patients may see results in just a few months, while more complex cases may take longer. Dr. Moles will provide a personalized timeline after your consultation.
After treatment, wearing a retainer as instructed is essential to maintain your results. Teeth can naturally shift over time, so retainers help keep your smile aligned and prevent gaps from reopening.
Ready To Smile Again?
New Patient Consult
Prior to your complimentary new patient consultation, you will be asked to fill out an online inquiry into your desires for treatment outcome, medical history and insurance benefits. After gathering the necessary diagnostics, our team will show you a quick view of your potential results with the Invisalign simulator and discuss financial planning options with you
Develop A Treatment Plan
Before any decisions on treatment can be made, our orthodontist must collect great diagnostics. Dr. Moles will combine his 30 years of expertise as a specialist in orthodontics with the diagnostic data collected, to design a plan using Invisalign aligner’s world class treatment planning software, Clincheck® Pro.
Manufacture Your Plan
Typically, the planning process takes about one to two weeks. Dr. Moles will then send your plan to manufacturing. Manufacturing typically takes another two to three weeks before they arrive at our office. Dr. Moles may need to discuss your plan with you personally. In these instances, either an in-office or virtual consultation will be arranged.
Next, we will set up an appointment with you. Dr. Moles, and one of our technicians will deliver your first sets of aligners, place any attachments needed and go over instructions.
Then it’s up to you! Wearing your aligners as prescribed will speed you along to the smile of your dreams! We will be monitoring your progress weekly and arrange for the delivery of your remaining aligners every three to four months as needed.