How Can Invisalign® Fix Your Crowding?
Invisalign clear aligners work by applying mild, consistent, programmed pressure on the teeth to get them moving in the right direction. Dr. Jon Moles will create a custom treatment plan addressing the specific and unique needs of your smile. If you need to address crowding in your smile at NuClear Smiles in Columbia, Maryland, our orthodontist can help!
Call 443-812-0993 to learn more!
Alignment Corrections Using Invisalign Aligners
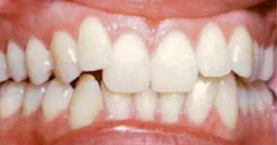
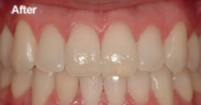
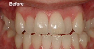
The most common complaint of patients by far is crowding.
When the teeth have overlapping with tight spaces between them, there will be difficulty in reaching all of the tooth surfaces with brushing and flossing. That leaves food behind in those nooks and crannies that adds to the growth of bacteria and bad breath for starters. Persistent difficulty with oral hygiene also leads to an increase in tooth decay and gum disease. Of course, likely most important to you…crowded teeth just aren’t very attractive.
How Do We Correct Crowding?
Before we achieve less crowded teeth, we need space! Creating space can be achieved in several ways:

1. Increasing the circumference of your arch form.
Crowding often results from having a narrower arch form. Think of it in reference to letters of the alphabet: we need to make a V into a U.

2. Inter-Proximal Reduction (IPR)
Now that’s a big, complicated and technical word! You may have heard IPR said before; or at least if you ever hear it again, we hope this explanation helps you in the future:
Increased Circumference
IPR (Inter-proximal Reduction)
IPR is a technique used to shave microns of enamel from the contact points between your teeth to achieve a very slight thinning of the teeth. While that doesn’t sound very fun, rest assured, it isn’t as bad as it sounds.
If we only need a couple millimeters of space, IPR is a great, safe way to acquire what we need. It’s more in line with crash dieting for a few days so you can fit into your skinny jeans from last fall. We are not talking 100’s of pounds, or in this case, millimeters. Reducing the enamel width has been in use for decades as a viable option for gaining space with little to no negative side effects, if done properly.
Diamond strips are used to manually “break the contact” between your teeth allowing the mild pressure from the aligner to slide the teeth past the one it is wedged against. Your enamel will heal itself and all will be right again. This is only an option for patients that seek a professional’s help with their tooth alignment (or in other words, don’t try this at home.)

3. In the most severe crowding cases… extractions may be necessary.
Sometimes a few millimeters aren’t enough to achieve healthy correction of crowding. Your teeth require a certain level of bone and gingival (gum) structure to remain stable. If we push them too far, they won’t have anywhere to go, resulting in tooth loss or gum recession. In most cases, removing one lower incisor does the trick. That is one of the little teeth in the front, on the bottom. Relax, it’s barely noticeable! Once the residual space is closed by un-crowding the remaining teeth, no one will notice it’s gone. Well, except you and your dentist! In the meantime, we can paint a “fake” tooth into your Invisalign aligners where the gap is, so when you have your Invisalign in place, no one will notice at all!
What if One Tooth Isn’t Enough?
Sometimes, it’s not! Does this look familiar?
Does This Look Better To You?
If spaces are large enough to be “self-cleansing” they will not necessarily present an issue with hygiene, however if the gaps are smaller, food can become trapped by the small spaces.
Ready To Smile Again?
New Patient Consult
Prior to your complimentary new patient consultation, you will be asked to fill out an online inquiry into your desires for treatment outcome, medical history and insurance benefits. After gathering the necessary diagnostics, our team will show you a quick view of your potential results with the Invisalign simulator and discuss financial planning options with you
Develop A Treatment Plan
Before any decisions on treatment can be made, our orthodontist must collect great diagnostics. Dr. Moles will combine his 30 years of expertise as a specialist in orthodontics with the diagnostic data collected, to design a plan using Invisalign aligner’s world class treatment planning software, Clincheck® Pro.
Manufacture Your Plan
Typically, the planning process takes about one to two weeks. Dr. Moles will then send your plan to manufacturing. Manufacturing typically takes another two to three weeks before they arrive at our office. Dr. Moles may need to discuss your plan with you personally. In these instances, either an in-office or virtual consultation will be arranged.
Next, we will set up an appointment with you. Dr. Moles, and one of our technicians will deliver your first sets of aligners, place any attachments needed and go over instructions.
Then it’s up to you! Wearing your aligners as prescribed will speed you along to the smile of your dreams! We will be monitoring your progress weekly and arrange for the delivery of your remaining aligners every three to four months as needed.
Frequently Asked Questions
Yes, Invisalign is a highly effective treatment for correcting crowded teeth. The aligners apply gentle, consistent pressure to gradually move teeth into better alignment. Dr. Jon Moles creates a customized plan to address your specific level of crowding and achieve a healthier, more balanced smile.
Crowded teeth can make it difficult to properly brush and floss, which increases the risk of plaque buildup, tooth decay, gum disease, and bad breath. Correcting crowding not only improves the appearance of your smile but also supports better long term oral health.
To correct crowding, space must first be created. This can be done by widening the dental arch, performing interproximal reduction (IPR) to slightly reshape teeth, or in more severe cases, removing a tooth. Dr. Moles will recommend the best approach based on your specific needs.
Interproximal reduction, or IPR, is a common and safe technique used to create small amounts of space between teeth. It involves removing tiny amounts of enamel from between teeth to allow them to shift into proper alignment. When performed by a trained professional, it has little to no negative side effects.
In some severe cases of crowding, removing a tooth may be necessary to create enough space for proper alignment. However, this is not always required. Dr. Moles will evaluate your smile and recommend the most conservative and effective treatment option to achieve the best results.